- Trang chủ | Kiến Thức Nha Khoa | Răng sứ
Răng sứ

Răng sứ kim loại vì sao lại "dày" hơn răng sứ toàn phần?
Bởi vì để che phủ đi lớp sườn kim loại, kỹ thuật viên phải đắp nhiều lớp sứ che màu phần kim loại, nên thường bị dày hơn, và có màu đục hơn răng sứ toàn phần.

Răng sứ có độ bền bao lâu là hợp lý
Răng sứ nên có độ bền tốt, nhưng độ bền của “răng thật” phải được ưu tiên hơn.
Veneer sứ gắn liền trong ngày, được không?
Nha khoa Lan Anh được trang bị máy CAD/CAM để "sản xuất" trực tiếp ra răng sứ và gắn ngay trong ngày, chỉ sau 6 tiếng.
Theo bạn thì làm 1 chiếc răng sứ là "dễ hay khó"?
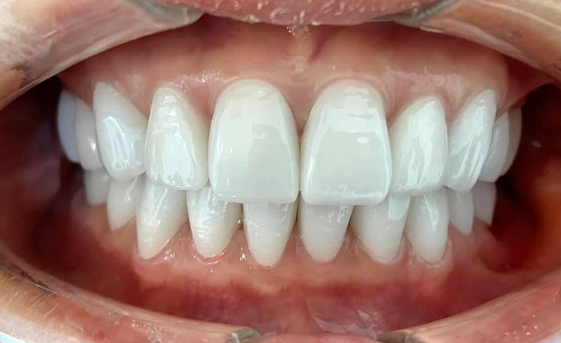
Câu trả lời là khó làm lắm đó bạn, vì phải làm sao cho thật cân xứng, hòa hợp cùng màu sắc, hình dạng răng, thậm chí là các "vân răng" trên bề mặt
Răng sứ có phải chỉ là chiếc răng giả?
Nha khoa Lan Anh có labo làm răng sứ tại chỗ, đi kèm với rất nhiều hãng vật liệu sứ khác nhau sẽ đem đến kết quả phù hợp với bạn nhất có thể.
Có nên phục hình cầu răng sứ không?
Nhiều người nói Implant ưu việt hơn so với cầu răng, nhưng chắc chắn về mặt thẩm mỹ, cầu răng thường vượt trội so với Implant.
Bạn có biết điều gì là khác biệt ở những răng sứ cao cấp?
Ngoài yếu tố thẩm mỹ, răng sứ được làm tỉ mỉ, kỹ lưỡng cũng giúp cho bề mặt răng được láng mịn, hạn chế tình trạng bám thức ăn, NHƯNG vẫn có nét đẹp vân răng trên bề mặt răng.


