- Trang chủ | Kiến Thức Nha Khoa
Kiến Thức Nha Khoa

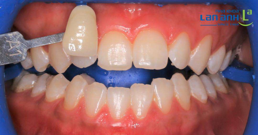
Đi thật xa rồi cũng quay trở về để làm răng sứ
Nối tiếp câu chuyện bệnh nhân làm răng sứ tại nha khoa Lan Anh từ 13 năm trước, hiện tại sống ở xa, cũng đã đi nhiều nơi để làm răng sứ nhưng vẫn chưa ưng ý, nên quay lại nha khoa Lan Anh để làm lại!

Nhẹ nhàng tẩy trắng răng chỉ sau 90 phút
Vì sao lại đến 90 phút? Bởi vì chúng tôi muốn đạt đến kết quả tối đa có thể!

Độ bền của Implant phụ thuộc vào yếu tố nào?
Implant phụ thuộc vào cấu trúc xương, càng nhiều xương bao phủ Implant, thì Implant càng vững chắc, và ngược lại.

Răng trắng đẹp tự nhiên nhờ tẩy trắng
Nếu bạn muốn răng trắng sáng hơn, nhưng vẫn giữ nét đẹp tự nhiên, thì có thể tẩy trắng răng. Đơn giản, nhẹ nhàng trong vòng 60 phút, nhưng kết quả vẫn đủ để bạn hài lòng !

Dụng cụ làm răng "made in Germany", liệu có khác biệt?
Nếu bạn đã từng sử dụng những dụng cụ y tế, bạn sẽ hiểu là dụng cụ y tế có những yêu cầu cao: tỉ mỉ, chính xác, độ cứng, độ bền vật liệu khi bị "nung", "hấp tiệt trùng" nhiều lần,v.v...

Nét đẹp tự nhiên của Veneer
Nhiều người làm Veneer, không phải vì thích vẻ ngoài "bóng bẩy", mà chỉ muốn nét đẹp tự nhiên.

Vì sao tẩy trắng răng tại nha khoa lại hiệu quả hơn tự tẩy tại nhà?
Lý do rất đơn giản: tẩy tại nha khoa do bác sĩ thực hiện, với sự trợ giúp của "đủ đồ nghề", nên kết quả tẩy trắng răng đạt được là "tốt nhất có thể"!