- Trang chủ | Kiến Thức Nha Khoa
Kiến Thức Nha Khoa

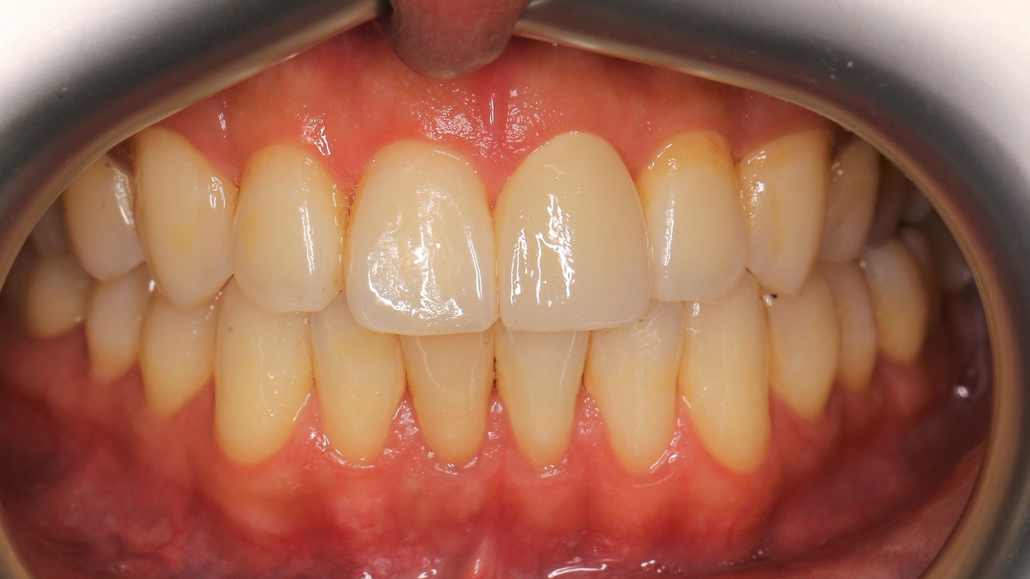
Phục hồi 1 răng cửa bị bể
Khi làm răng sứ để phục hồi chỉ 1 răng cửa bị bể, nó gọi là khó ơi là khó!

Trám răng đúng chuẩn
Nếu răng bị sâu mà trám không tốt, nó sẽ bị bể, và sẽ tốn rất nhiều tiền, công sức để làm lại!

Niềng răng Invisalign điều trị hô
Nhiều người nói niềng Invisalign không niềng được những ca hô nhiều, những ca khó, phức tạp,... Thật ra, niềng được hay không, không phải ở Invisalign quyết định, mà là ở bác sĩ quyết định!

Niềng răng cho trẻ em cần đúng thời điểm phát triển
Kết quả sẽ rất khác biệt, nếu có sự hiểu biết và đánh giá đúng về sự phát triển của trẻ.

Niềng răng bằng mắc cài hay Invisalign sẽ nhanh và hiệu quả hơn?
Mỗi loại niềng có đặc điểm riêng, và sẽ phù hợp với từng trường hợp cụ thể.

Câu chuyện bệnh nhân đã điều trị ung thư mong muốn được niềng răng
2 năm trước, một bệnh nhân đến gặp tôi với mong muốn niềng răng. Không may, cô bệnh nhân đã từng điều trị xạ trị ung thư, nên thật khó để tìm được bác sĩ đồng ý điều trị cho cô bạn trẻ tuổi này.

Niềng răng ngày nay có thường phải nhổ răng không?
Câu trả lời là không đối với niềng Invisalign! Câu trả lời là có đối với niềng mắc cài!